ثقافة
إيلون ماسك يعلن عن نجاح زرع شريحة دماغية في أول إنسان

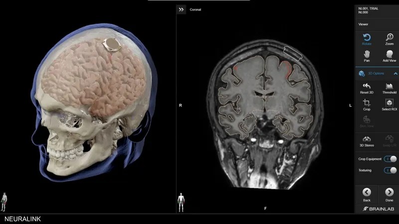
قال إيلون ماسك مؤسس شركة نيورالينك إن أول مريض من البشر خضع لزراعة شريحة دماغية من التي تنتجها الشركة الناشئة يوم الأحد وإنه يتعافى بشكل جيد.
وأضاف في منشور على منصة التواصل الاجتماعي (إكس) الاثنين “تظهر النتائج الأولية رصد زيادة الخلايا العصبية على نحو واعد”.
ويصف المعهد الوطني للصحة الخلايا العصبية بأنها خلايا تستخدم الإشارات الكهربائية والكيميائية لإرسال المعلومات عبر الدماغ وإلى الجسم.
وكانت إدارة الأغذية والعقاقير الأميركية قد منحت الشركة العام الماضي تصريحا لإجراء أول تجربة لها لاختبار زرع الشريحة في دماغ الإنسان.
وقال ماسك في منشور منفصل على (إكس) إن شريحة نيورالينك سيُطلق عليه اسم (تيليباثي).
وأفادت نيورالينك على موقعها الإلكتروني بأن الشريحة تمكن الأشخاص المصابين بالشلل الرباعي من التحكم في الأجهزة بتفكيرهم.




